Home Up Feedback Contents Search

                              

 

Home
Up
Hearing Aids
Postop Care
Services
Preop Prep

      Botox Cosmetic™ 

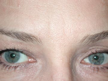
Milwaukee ENT Clinic Patient Results: Click on thumbnail images for larger pictures.  Use your web browser Back button to return to this page.            

              Prior to Botox  Cosmetic™           Four weeks after Botox Cosmetic™

                   Relaxed forehead                               Relaxed forehead      

                  prebotoxRelaxEVEglabWEB.jpg (52943 bytes)                               3wkspostBOTOXweb.jpg (53651 bytes)

                 Animated forehead                             Animated forehead 

                  preBOTOXanimated.jpg (54458 bytes)                               Web3wkspostAnimated.jpg (56917 bytes) 

                Crow's feet prior to Botox                    Crow's feet after Botox

                  nancy west 2.jpg (53385 bytes)                               nancy west 1.jpg (52597 bytes)

                  nancy west 3.jpg (54254 bytes)                               nancy west 4.jpg (54007 bytes)  

 

 


Last modified: February 07, 2004